Fallstudien von Knochen- und Weichteiltumoren. Eine Quelle für MSK/Sarkom -Tumorfälle.
Knochen- und Weichgewebe -Tumoren - Fallstudien ( BoSTT ) ist eine mobile Quelle für Tumorfälle des Bewegungsapparates, die von Experten des Royal National Orthopedic Hospital (RNOH) NHS Trust, Stanmore, Großbritannien, bereitgestellt werden.
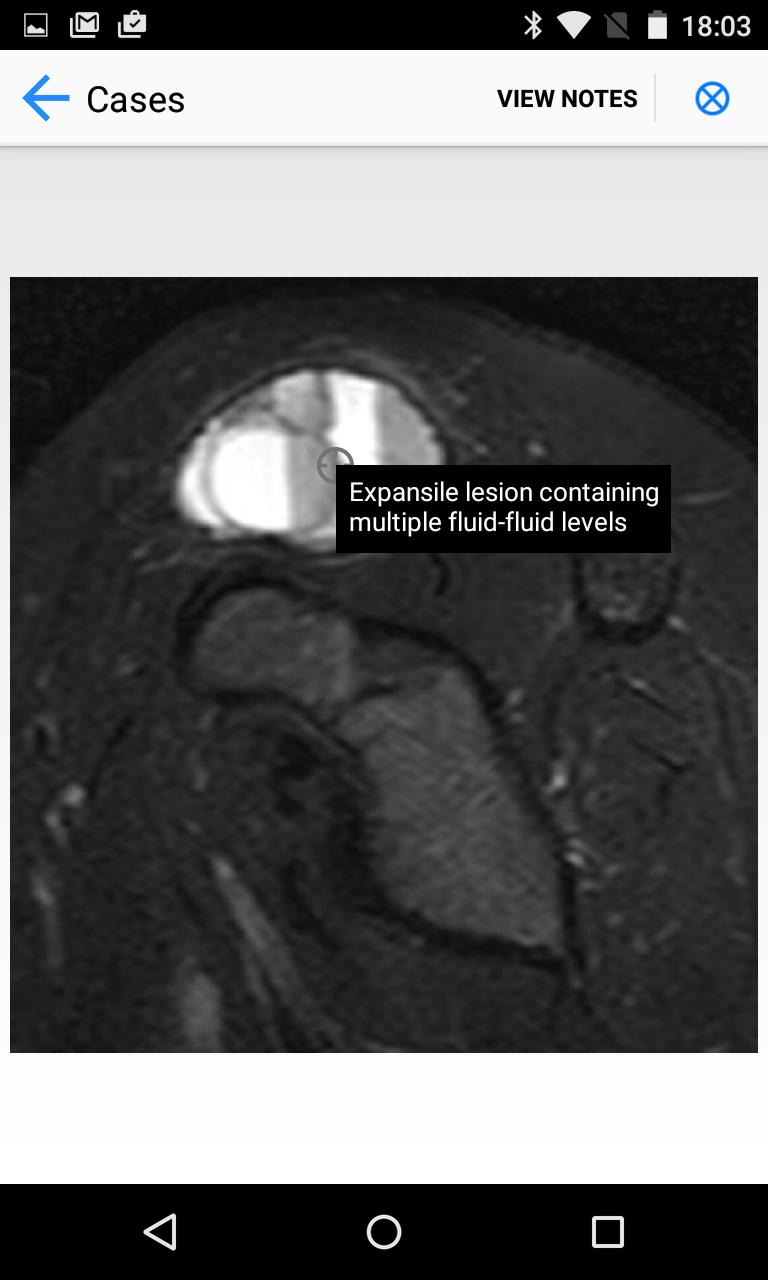
BoSTT bringt dem Benutzer eine echte Erfahrung mit häufigen und seltenen, typischen und ungewöhnlicheren Fällen von Knochen- und Weichgewebe -Tumoren. Jeder Fall hat eine klinische Anamnese, hochauflösende Radiologie- und Pathologie -Bilder, Diagnose, Behandlungs- und Lernpunkte.
Die App ist für medizinische Fachkräfte entwickelt, die im Bereich des muskuloskelettalen Gesundheitswesens arbeiten, einschließlich Radiologen, Pathologen, Orthopäden, Onkologen, Krankenschwester und Physiotherapeuten. Es kann auch von Medizinstudenten, Auszubildenden, Bewohnern und Fachkamen für die fortgesetzte medizinische Ausbildung verwendet werden.
Das RNOH ist das größte orthopädische Krankenhaus in Großbritannien und gilt sowohl in Großbritannien als auch in der Welt als führend auf dem Gebiet der Orthopädie und Sarkompflege.
Diese App wurde vom Innovationsfonds von RNOH finanziert.